کد خبر: 287618
تاریخ انتشار: یکشنبه 04 آبان 1404 – 08:52
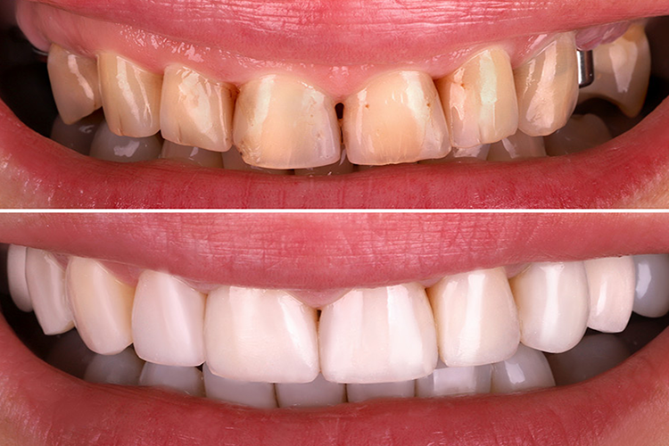
روکش دندان جلو چیست و چه نقشی در بازسازی لبخند دارد؟
روکش دندان پوششی است که برای بازگرداندن شکل، اندازه و رنگ طبیعی دندان ساخته میشود. این روکش روی دندان آسیبدیده، ترکخورده یا تغییر رنگ داده نصب میشود و ظاهر و عملکرد آن را مانند قبل بازمیگرداند. کاربرد این روش هم درمانی و هم زیبایی است و در بسیاری از مراکز مانند بهترین دندانپزشکی زیبایی، برای اصلاح فوری شکل دندان استفاده میشود.
وقتی دندان جلو دچار لبپریدگی یا شکستگی میشود، استفاده از این روکش کمک میکند که دندان دوباره شبیه دندان اصلی شود. اگر لکه یا تغییر رنگ دندان با روشهایی مانند بلیچینگ برطرف نشود، روکش میتواند به طور کامل این مشکل را پوشش دهد. در برخی موارد که ناهماهنگی دندانها کم است، روکش دندان جلو میتواند نقش جایگزین ارتودنسی را داشته باشد.

انتخاب رنگ مناسب برای روکش دندان جلو مطابق دندانهای طبیعی
انتخاب رنگ برای روکش دندان متناسب با رنگ دندانهای طبیعی باعث میشود لبخند کاملاً طبیعی و بدون تفاوت دیده شود. در این انتخاب، عواملی همچون رنگ پایه دندانها، میزان شفافیت و همخوانی رنگ روکش با رنگ پوست تأثیرگذار هستند. روکشهای تمام سرامیکی به دلیل شفافیت و همانندی بالایشان به دندان طبیعی، گزینهای ایدئال برای دندانهای جلو محسوب میشوند و حتی پس از سالها تغییر رنگ کمی دارند.
پیش از انتخاب رنگ، بهتر است دندانهای خود را جرمگیری و تمیز کنید تا رنگ اصلی دندان مشخص و نتیجه کار دقیقتر باشد. هماهنگی درست رنگ روکش با دندانهای طبیعی باعث میشود زمانی که لبخند میزنید یا صحبت میکنید، هیچکس متوجه وجود روکش در دندانهای جلو نشود و طرح لبخندتان کاملاً طبیعی و زیبا باشد.
انواع روکش دندان جلو و ویژگیهای هر کدام
انتخاب نوع روکش دندان به عواملی مانند میزان آسیب دندان، هدف درمان، بودجه و میزان اهمیت زیبایی بستگی دارد. در ادامه انواع رایج روکشهای دندان جلو و ویژگی آنها را بررسی میکنیم:
- روکش تمام سرامیکی: ظاهری بسیار طبیعی و همرنگ دندانهای مجاور دارد. فاقد هرگونه فلز بوده و بهخوبی با لثه سازگار است. در برابر تغییر رنگ مقاوم است و گزینهای ایدئال برای دندانهای جلو محسوب میشود.
- روکش زیرکونیا: ساختهشده از زیرکونیا با استحکام فوقالعاده بالا؛ علاوه بر مقاومت در برابر شکستگی، ظاهری طبیعی و شفافیت مشابه دندان واقعی دارد.
- روکش فلز – سرامیک: ترکیبی از اسکلت فلزی و روکش سرامیکی که دوام و مقاومت بالایی ارائه میدهد. هرچند ممکن است با گذر زمان لبه فلزی آن قابلمشاهده شود.
- روکش مریلند: نوعی روکش/بریج محافظهکارانه که بیشتر برای جایگزینی یک دندان از دست رفته در بخش جلو به کار میرود و نیاز به تراش کم دندانهای مجاور دارد.
مراحل انجام روکش دندان جلو از معاینه تا نصب نهایی
روکش دندان جلو طی چند مرحله منظم انجام میشود تا نتیجه نهایی از نظر ظاهری و عملکردی رضایتبخش باشد. این فرایند معمولاً ۲ تا ۳ جلسه طول میکشد و شامل مراحل زیر است:
- بررسی کامل دهان و دندان از طریق معاینه و تصویربرداری تخصصی برای ارزیابی شرایط دندان
- انجام درمانهای لازم مانند ترمیم یا عصبکشی در صورت وجود پوسیدگی یا آسیب گسترده
- تراش دقیق دندان به میزان لازم برای ایجاد فضای مناسب نصب روکش بدون آسیب به بافت اطراف
- انتخاب رنگ روکش متناسب با رنگ دندانهای طبیعی برای هماهنگی کامل لبخند
- قالبگیری دقیق با ابزار سنتی یا دیجیتال برای ساخت روکش کاملاً سازگار با دندان
- نصب روکش موقت برای حدود دو هفته بهمنظور بررسی تطابق و راحتی قبل از ساخت نهایی
- برداشتن روکش موقت و قرار دادن روکش دائمی با چسب تخصصی مقاوم و انجام تنظیمات نهایی

مراقبتهای تخصصی برای افزایش طول عمر روکش دندان جلو
طول عمر و دوام روکش دندان به کیفیت اجرای آن و روش مراقبت شما بستگی دارد. مراجعه به بهترین دندانپزشکی زیبایی برای انجام این درمان، یکی از مهمترین گامها برای حفظ ماندگاری روکش است. بعد از نصب، بهداشت دهان و دندان باید با دقت و به صورت منظم رعایت شود. استفاده از مسواک نرم، نخ دندان و دهانشویه ضدباکتری کمک میکند پلاکها و باکتریها روی دندان و اطراف اتصال روکش تجمع پیدا نکنند و پوسیدگی ایجاد نشود.
همچنین مصرف نوشیدنیها و خوراکیهایی که رنگ زیادی دارند مثل چای، قهوه و نوشابه باعث تغییر رنگ روکش میشود و ظاهر آن را تحت تأثیر قرار میدهد. اگر روکش، لمینت سرامیکی یا گزینههای زیبایی مشابه همچون کامپوزیت ونیر، باشد این مراقبتها مهمتر نیز میشوند.
چه عواملی باعث عفونت زیر روکش دندان جلو میشود؟
عفونت زیر روکش دندان زمانی ایجاد میشود که باکتریها از طریق شکافها یا نشت بین روکش و دندان وارد بخش داخلی شوند و موجب التهاب و آسیب شوند. این مشکل معمولاً به دلایلی مانند نصب نادرست روکش توسط دندانپزشک غیرمتخصص، عدم رعایت بهداشت دهان و دندان پس از نصب روکش، یا ترک خوردن و شکستن روکش بر اثر ضربه و فشار زیاد رخ میدهد.
در برخی موارد، بیماریهای لثه و تحلیل لثه باعث ایجاد فاصله بین روکش و بافت لثه شده و محیطی مناسب برای تجمع پلاک و باکتری فراهم میکند. حتی عاداتی مثل دندانقروچه نیز میتواند فشار زیادی به روکش وارد کرده و آن را شل یا ترکدار کند. اگر پس از نصب روکش دندان علائمی مانند درد شدید که بیش از دو هفته ادامه دارد، تورم یا التهاب لثه و یا حساسیت غیرعادی در دندان احساس کنید، لازم است فوراً به دندانپزشک مراجعه کنید.

مزایا و معایب روکش دندان جلو؛ آگاهی پیش از تصمیمگیری نهایی
پیش از اقدام به انجام روکش دندان، باید مزایا و معایب آن را بدانید تا انتخابی آگاهانه داشته باشید. در ادامه، مزایا و معایب این روش بررسی شده است:
مزایای روکش دندان جلو
اصلاح شکل، رنگ و ظاهر دندانهای لبپریده، ترکخورده یا بدرنگ در زمانی کوتاه
ایجاد سطحی یکدست و هماهنگ با بقیه دندانها برای بهبود طرح لبخند
محافظت و افزایش استحکام دندانهای ضعیف شده یا آسیب دیده
ماندگاری قابل قبول بین ۵ تا ۱۵ سال در صورت رعایت مراقبتها
معایب روکش دندان جلو:
نیاز به تراش بخشی از دندان و کم شدن استحکام طبیعی آن
خطر پوسیدگی دندان زیر روکش در صورت بیتوجهی به بهداشت دهان
نیاز به تعویض پس از پایان طول عمر مفید و فشار به لثه یا ریشه
احتمال دیده شدن لبه فلزی در برخی روکشها پس از چند سال
جمع بندی
روکش دندان جلو پاسخی مؤثر برای رفع مشکلاتی مانند ترک، لبپریدگی، تغییر رنگ و ضعف ساختاری دندان است. این روش میتواند ظاهر یکنواخت و طبیعی را به لبخند بازگرداند و از دندان در برابر فشار و آسیبهای آتی محافظت کند. فرایند نصب شامل بررسی سلامت دندان، تراشیدن ملایم برای ایجاد فضا، قالبگیری دقیق و نصب روکش موقت و سپس دائم است. اگر لثه دچار التهاب یا دندان دچار عفونت باشد، ابتدا باید این شرایط برطرف شود. مراقبت روزانه با مسواک مناسب، نخ دندان و کاهش مصرف خوراکیهای سخت یا رنگی، کلید حفظ کیفیت روکش است.
source