روکش دندان یکی از پرکاربردترین درمان های ترمیمی و زیبایی در دندانپزشکی مدرن است که نقش مهمی در بازگرداندن عملکرد، دوام و زیبایی دندان های آسیب دیده دارد. امروزه با پیشرفت فناوری های دیجیتال مانند طراحی با سیستم CAD/CAM، استفاده از مواد مقاوم تر نظیر زیرکونیا و پرسلن های نسل جدید، گزینه های بسیار متنوع و شخصی سازی شده ای برای بیماران فراهم شده که انتخاب مناسب آن ها می تواند تفاوت چشمگیری در نتیجه نهایی ایجاد کند. هدف اصلی از به کارگیری روکش دندان، محافظت از ساختار باقی مانده دندان، افزایش مقاومت در برابر فشارهای جویدن، بهبود رنگ، فرم و هماهنگی دندان با سایر اجزای لبخند است. بر اساس گزارش انجمن دندانپزشکی آمریکا (ADA)، استفاده از روکش های دندانی در سال های اخیر بیش از ۴۵ درصد افزایش یافته است که این امر نشان دهنده اعتماد بیماران و متخصصان به این روش ترمیمی موثر است.

در ایران نیز با رشد آگاهی عمومی نسبت به سلامت دهان و دندان و اهمیت لبخند زیبا، تقاضا برای درمان های زیبایی مانند روکش دندان به شکل قابل توجهی افزایش یافته است. اما مهم ترین نکته، شناخت انواع موجود و تفاوت های علمی و کاربردی آن هاست، زیرا هر ماده دارای ویژگی های فیزیکی، مقاومت، هزینه و زیبایی شناختی متفاوتی است و برای ناحیه خاصی از دهان مناسب تر به شمار می رود. به عنوان مثال، روکش های فلزی به دلیل استحکام زیاد برای دندان های عقب ترجیح داده می شوند، در حالی که سرامیکی و زیرکونیا بیشتر برای دندان های جلویی مورد استفاده قرار می گیرند تا ظاهر طبیعی و شفافیت دندان حفظ شود. همچنین در سال ۱۴۰۴ داده های جدید نشان می دهد که طول عمر روکش ها با رعایت بهداشت دهان و انتخاب جنس مناسب می تواند بین ۱۰ تا ۲۰ سال متغیر باشد.
در این مقاله که با استناد به جدیدترین منابع علمی مانند انجمن ترمیم و زیبایی دندانپزشکی آمریکا (AACD) و دانشگاه هاروارد تهیه شده، با چهار نوع اصلی روکش شامل فلزی، سرامیکی، زیرکونیا و ترکیبی (PFM) آشنا می شویم. در ادامه مزایا و معایب هر نوع، تفاوت در هزینه ها، نکات کاربردی هنگام انتخاب روکش دندان و توصیه های مهم مربوط به مراقبت و افزایش طول عمر آن بررسی می شود تا بیماران بتوانند با آگاهی بیشتری تصمیم بگیرند. فراموش نکنید این مقاله تنها جهت افزایش آگاهی و اطلاع رسانی عمومی تهیه شده و به هیچ عنوان جایگزین تشخیص و درمان تخصصی توسط دندانپزشک نیست. هر فرد باید پیش از انتخاب نوع روکش، وضعیت دندان و لثه خود را توسط یک دندانپزشک متخصص ترمیمی یا زیبایی ارزیابی کند تا بهترین گزینه بر اساس شرایط فیزیولوژیکی، بودجه و انتظارات زیبایی او تعیین شود.
فهرست مطالب
- روکش دندان فلزی: مشخصات و کاربردها
- روکش دندان سرامیکی: زیبایی و سازگاری با بافت لثه
- روکش دندان زیرکونیا: مقاومت و تکنولوژی روز
- روکش دندان ترکیبی: ترکیب زیبایی و دوام
- عوامل موثر بر انتخاب نوع روکش
- هزینه ها و مقایسه اقتصادی انواع روکش دندان
- مراقبت و طول عمر روکشها
- نتیجه گیری
- سوالات متداول (FAQ)
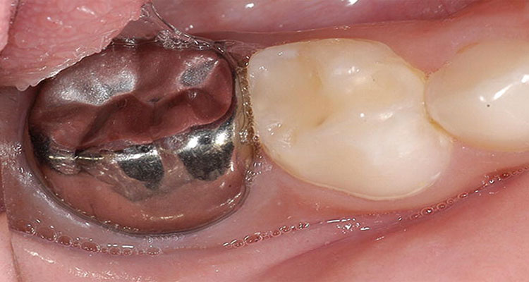
روکش دندان فلزی: مشخصات و کاربردها
روکش فلزی یکی از قدیمیترین و مقاومترین انواع روکش است که معمولاً از آلیاژهای طلا، پالادیوم، نیکل یا کروم ساخته میشود. این نوع روکش به دلیل مقاومت بسیار بالا در برابر فشارهای جویدن و فرسایش، در دندانهای خلفی (آسیابها) به کار میرود؛ جایی که زیبایی ظاهری اهمیت کمتری دارد و دوام در اولویت است.

از نظر علمی، روکشهای فلزی انتقال حرارت بیشتری نسبت به انواع غیرفلزی دارند، بنابراین در برخی بیماران با حساسیت به سرما یا گرما، ممکن است نیاز به اقدامات پیشگیرانه باشد. همچنین به دلیل سطح صاف و تراکم بالای فلز، تجمع پلاک و باکتری کمتر اتفاق میافتد که به سلامت لثه کمک میکند.
مزایا
- مقاومت بسیار بالا در برابر فشار
- نیاز به تراش کمتر دندان نسبت به انواع دیگر روکش
- طول عمر بالای ۱۵ تا ۲۰ سال با مراقبت مناسب
- احتمال شکستگی یا ترک تقریباً صفر
معایب
- ظاهر غیرطبیعی و درخشش فلزی
- واکنش آلرژیک در برخی افراد نسبت به آلیاژ نیکل
- هزینه بالا در صورت استفاده از فلزات گرانبها
روکش دندان سرامیکی: زیبایی و سازگاری با بافت لثه
روکش سرامیکی که معمولاً از پرسلن ساخته میشود، به دلیل شباهت ظاهری زیاد به مینای طبیعی دندان، انتخاب شماره یک برای دندانهای جلو است. این نوع روکش بهویژه برای افرادی که به دنبال نتیجه زیبا، طبیعی و هماهنگ با دندانهای دیگر هستند توصیه میشود.

از نظر علمی، سرامیکها ضریب انکسار نوری مشابه مینای طبیعی دارند، به همین دلیل بازتاب نور آنها باعث جلوهای واقعی و طبیعی میشود. در طراحیهای جدید، از تکنولوژی CAD/CAM برای ساخت دقیق و بینقص آنها استفاده میشود.
مزایا
- زیبایی و شباهت به دندان طبیعی
- مقاومت مناسب در برابر تغییر رنگ
- سازگاری بالا با بافت لثه
معایب
- شکنندگی بیشتر نسبت به فلز
- نیاز به تراش بیشتر دندان نسبت به روکش فلزی
- هزینه بالاتر به دلیل مراحل ساخت پیچیده و فناوری دیجیتال
روکش دندان زیرکونیا: مقاومت و تکنولوژی روز
روکش زیرکونیا از دیاکسید زیرکونیوم ساخته میشود که یکی از مقاومترین مواد مورد استفاده در دندانپزشکی مدرن است. این نوع روکش علاوه بر دوام بالا، قابلیت عبور نور و رنگپذیری خوبی دارد، بنابراین هم در دندانهای جلو و هم در خلفی کاربرد دارد.

زیرکونیا با استفاده از فناوری CAD/CAM ساخته میشود و طراحی آن با دقت میکرونی انجام میگیرد. مقاومت این ماده در برابر شکستگی و فرسایش بیش از دو برابر پرسلن سنتی است. همچنین به دلیل عدم وجود فلز، بیماران دچار حساسیت فلزی نمیشوند.
مزایا
- مقاومت بسیار بالا (تا ۱۲۰۰ مگاپاسکال فشار)
- ظاهر طبیعی و قابلیت تطابق رنگ
- سازگاری زیستی عالی با لثه
معایب
- هزینه بالاتر نسبت به انواع دیگر روکش
- دشواری تراش و تنظیم آن توسط دندانپزشک
روکش دندان ترکیبی: ترکیب زیبایی و دوام
روکش ترکیبی معمولاً به صورت پرسلنی-فلزی (PFM) ساخته میشود که در آن هسته فلزی برای مقاومت و لایه پرسلنی برای زیبایی به کار میرود. این ترکیب سالها به عنوان استاندارد طلایی در دندانپزشکی استفاده شده است.

هسته فلزی تضمینکننده دوام و پایداری در برابر فشار است، در حالی که لایه پرسلنی روی آن باعث شباهت ظاهری به دندان طبیعی میشود. با این حال، با گذشت زمان ممکن است لایه پرسلنی دچار لبپریدگی شود و فلز زیرین نمایان گردد.
مزایا
- دوام بالا با ظاهر نسبتاً طبیعی
- هزینه کمتر از زیرکونیا
- کاربرد در تمام نقاط دهان
معایب
- احتمال دیده شدن حاشیه فلزی در نزدیکی لثه
- تغییر رنگ لایه پرسلنی در گذر زمان
عوامل موثر بر انتخاب نوع روکش
انتخاب بهترین نوع روکش دندان نیازمند بررسی دقیق وضعیت دهان، لثه و شرایط عمومی سلامت بیمار است. اولین موضوعی که دندانپزشک در نظر می گیرد، موقعیت دندان در دهان است؛ زیرا دندان های جلو معمولاً برای زیبایی لبخند اهمیت زیادی دارند، در حالی که دندان های عقب بیشتر درگیر نیروهای ناشی از جویدن هستند. به همین دلیل برای دندان های جلویی معمولاً از روکش های تمام سرامیکی یا زیرکونیا که رنگی شفاف و طبیعی دارند استفاده می شود، اما در ناحیه دندان های خلفی انتخاب روکش های فلزی یا ترکیبی (PFM) منطقی تر است، چون این نواحی به مقاومت بالا نیاز دارند. میزان تخریب تاج دندان نیز عامل بسیار مهمی است؛ هرچه ساختار باقی مانده دندان کمتر باشد، نیاز به ماده ای با استحکام مکانیکی بیشتر احساس می شود تا احتمال شکست روکش در بلندمدت کاهش یابد. علاوه بر این، وضعیت اکلوژن (برخورد دندان ها با هم)، ارتفاع دندان و سلامت لثه از فاکتورهای کلیدی دیگری هستند که در فرآیند انتخاب نهایی تاثیر می گذارند.
در کنار عوامل بیولوژیک و ساختاری، ویژگی های فردی و ترجیحات بیمار نیز نقش تعیین کننده دارند. حساسیت یا آلرژی به فلزات مانند نیکل، بودجه مالی در دسترس، و سطح انتظارات زیبایی از جمله معیارهای عملی هستند که باید مورد توجه قرار گیرند. برخی بیماران صرفاً به دنبال دوام بالا و هزینه کمتر هستند و در نتیجه روکش های فلزی را انتخاب می کنند، اما افرادی که زیبایی ظاهری برایشان اهمیت بیشتری دارد، معمولاً به سراغ روکش های زیرکونیا یا پرسلنی می روند که جلوه ای طبیعی تر فراهم می کنند. همچنین باید دقت داشت که رنگ پوست، لثه و دندان های مجاور نیز در تعیین تناژ رنگ نهایی روکش موثر است. در نهایت، بهترین تصمیم زمانی گرفته می شود که بیمار و دندانپزشک با مشورت دقیق، توازنی میان زیبایی، دوام، هزینه و سلامت کلی دهان برقرار کنند.
مهم ترین عواملی که در انتخاب نوع روکش دندان باید در نظر گرفته شوند:
- موقعیت دندان: دندان های جلو برای زیبایی و دندان های عقب برای مقاومت اولویت دارند.
- میزان تخریب تاج دندان: هر چه دندان ضعیف تر باشد، نیاز به روکش مقاوم تر بیشتر است.
- زیبایی ظاهری مورد انتظار: انتخاب رنگ، شفافیت و تطابق با دندان های مجاور.
- سلامت لثه و حساسیت های احتمالی: اجتناب از فلزات آلرژی زا در بیماران حساس.
- بودجه مالی و هزینه نهایی درمان: تاثیر مستقیم در انتخاب نوع ماده و روش ساخت.
- عادت های جویدن یا دندان قروچه (براکسیزم): در این موارد زیرکونیا و فلزی گزینه های بادوام تری هستند.
- توصیه دندانپزشک: بر اساس تجربه بالینی، نوع دندان و تحلیل استخوان فک.
جدول مقایسه انواع روکش:
| نوع روکش | مقاومت | زیبایی | طول عمر | هزینه تقریبی | کاربرد اصلی |
|---|---|---|---|---|---|
| فلزی | بسیار بالا | کم | 15-20 سال | متوسط تا زیاد | دندانهای عقب |
| سرامیکی | متوسط | بسیار بالا | 10-15 سال | زیاد | دندانهای جلو |
| زیرکونیا | بسیار بالا | بالا | 15-20 سال | زیاد | تمام دندانها |
| ترکیبی (PFM) | بالا | متوسط | 10-15 سال | متوسط | همه نقاط |
هزینه ها و مقایسه اقتصادی انواع روکش دندان
بر اساس دادههای سال ۱۴۰۴، قیمت روکشها تحت تأثیر عوامل متعددی مانند نوع ماده، تکنولوژی ساخت، محل کلینیک و تجربه دندانپزشک است. متوسط قیمتها در ایران:
- روکش فلزی: ۳ تا ۵ میلیون تومان
- روکش سرامیکی: ۶ تا ۹ میلیون تومان
- روکش زیرکونیا: ۹ تا ۱۲ میلیون تومان
- روکش ترکیبی: ۴ تا ۷ میلیون تومان
مراقبت و طول عمر روکشها
طول عمر روکش دندان تا حد زیادی به نحوه مراقبت فردی و رعایت اصول بهداشت دهان و دندان بستگی دارد. اگر بیمار پس از نصب روکش برنامه منظم مراقبتی داشته باشد، می تواند انتظار ماندگاری این درمان را تا حدود ۱۵ تا ۲۰ سال داشته باشد. نخستین و مهم ترین اقدام برای افزایش دوام روکش، مراقبت روزانه از دندان ها با مسواک نرم، نخ دندان و دهان شویه مناسب است. بر خلاف تصور برخی افراد، روکش دندان هرگز مصون از پوسیدگی کامل نیست، زیرا در ناحیه اتصال با لثه یا پایه دندان طبیعی هنوز احتمال تجمع پلاک و باکتری وجود دارد. به همین دلیل استفاده از نخ دندان برای تمیز کردن خطوط اتصال روکش با دندان ضروری است تا از التهاب لثه و پوسیدگی جلوگیری شود. همچنین انتخاب خمیر دندان های غیر ساینده توصیه می شود، زیرا مواد ساینده می توانند در طولانی مدت باعث سایش سطح روکش یا تغییر رنگ شوند.
عامل دیگر در حفظ سلامت روکش، تغذیه مناسب و اجتناب از فشارهای مکانیکی بیش از حد است. مصرف خوراکی های بسیار سفت مانند یخ، آجیل های سخت، استخوان و آب نبات های چسبنده می تواند موجب ترک یا شکست روکش شود، مخصوصاً در روکش های سرامیکی و ترکیبی. از نظر علمی ثابت شده است بیمارانی که عادت دندان قروچه (براکسیزم) دارند، باید حتماً از محافظ دندانی شبانه استفاده کنند تا فشار اضافی به روکش وارد نشود. علاوه بر این، مراجعه منظم به دندانپزشک (هر شش ماه یک بار) برای بررسی تطابق روکش با لثه، بررسی پوسیدگی های احتمالی در زیر آن و جرم گیری منظم ضروری است. انجام این بررسی ها نه تنها موجب افزایش عمر روکش می شود، بلکه به سالم ماندن دندان های مجاور نیز کمک می کند. در نهایت، ترک سیگار و استفاده نکردن از موادغذایی رنگ دهنده مانند قهوه و چای در میزان باقی ماندن رنگ طبیعی روکش تاثیر زیادی دارد.
توصیه های کاربردی برای افزایش عمر و کیفیت روکش دندان
- مسواک زدن دو بار در روز با برس نرم: برای جلوگیری از رسوب پلاک و حفظ رنگ اولیه روکش.
- استفاده روزانه از نخ دندان یا برس بین دندانی: برای تمیز کردن نواحی بین دندان و لبه روکش.
- دهان شویه ضد باکتری یا حاوی فلوراید: کاهش تجمع جرم و التهاب لثه.
- اجتناب از خوراکی های سخت و چسبنده مثل ته دیگ، یخ و آب نبات ها.
- مراجعه منظم به دندانپزشک (هر ۶ ماه یک بار): بررسی وضعیت روکش، سلامت لثه و پایه دندان.
- استفاده از محافظ دندانی شبانه برای افراد دندان قروچه ای.
- عدم مصرف سیگار، قهوه، چای غلیظ و نوشابه برای جلوگیری از تغییر رنگ روکش های سرامیکی.
- حفظ سلامت عمومی بدن و رژیم غذایی متعادل: تامین مواد معدنی لازم برای بافت های دهان و لثه.

با رعایت این موارد، روکش دندان نه تنها عمر بیشتری خواهد داشت، بلکه زیبایی و عملکرد طبیعی خود را در طول سال ها حفظ می کند. توجه داشته باشید که مراقبت از روکش دندان همانند مراقبت از دندان طبیعی اهمیت دارد و عدم رعایت بهداشت دهان می تواند باعث التهاب لثه، شل شدن یا تغییر رنگ روکش شود. در نهایت، بهترین توصیه، پیروی از برنامه مراقبتی طراحی شده توسط دندانپزشک معالج است تا نتیجه درمان پایدار و مطمئن باقی بماند.
نتیجه گیری
روکش دندان یک درمان ارزشمند و چندمنظوره در دندانپزشکی است که با انتخاب درست، میتواند علاوه بر زیبایی، عملکرد جویدن و سلامت کلی دهان را بهبود ببخشد. در سال ۱۴۰۴، انواع مختلف روکش با فناوریهای پیشرفته و مواد مقاوم، گزینههای گستردهای را در اختیار بیماران قرار میدهد. انتخاب درست نیازمند ارزیابی دقیق توسط دندانپزشک و در نظر گرفتن نیازها و بودجه فردی است.
سوالات متداول (FAQ)
1. کدام نوع روکش بیشترین دوام را دارد؟
روکش فلزی و زیرکونیا هر دو دوام بالایی دارند ولی زیرکونیا همزمان زیبایی بیشتری ارائه میدهد.
2. آیا روکش سرامیکی برای دندانهای عقب مناسب است؟
خیر، به دلیل مقاومت کمتر، بهتر است روکش سرامیکی برای دندانهای جلو استفاده شود.
3. آیا روکش دندان باعث حساسیت میشود؟
در برخی افراد روکشهای فلزی حاوی نیکل ممکن است حساسیت ایجاد کنند، اما انواع سرامیکی و زیرکونیا معمولاً بی خطر هستند.
منبع:
- American Dental Association (ADA)
- American Academy of Cosmetic Dentistry (AACD)
- Glidewell Dental Research
- Harvard School of Dental Medicine
source